Casos Clínicos
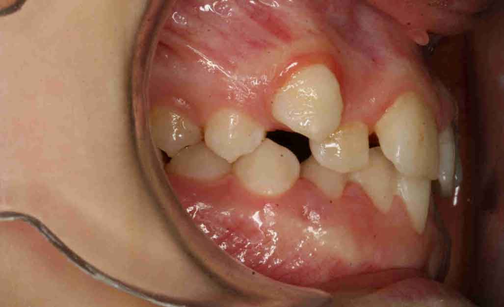
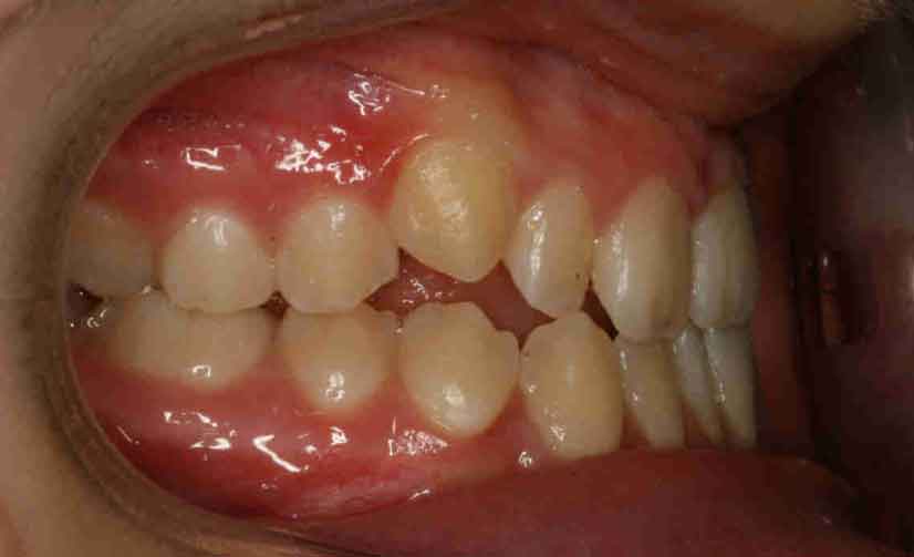
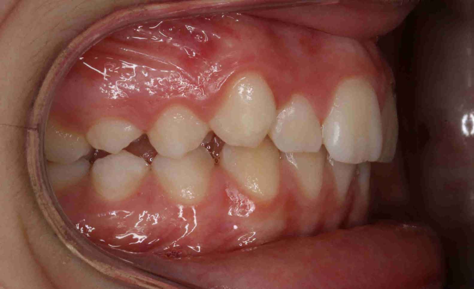
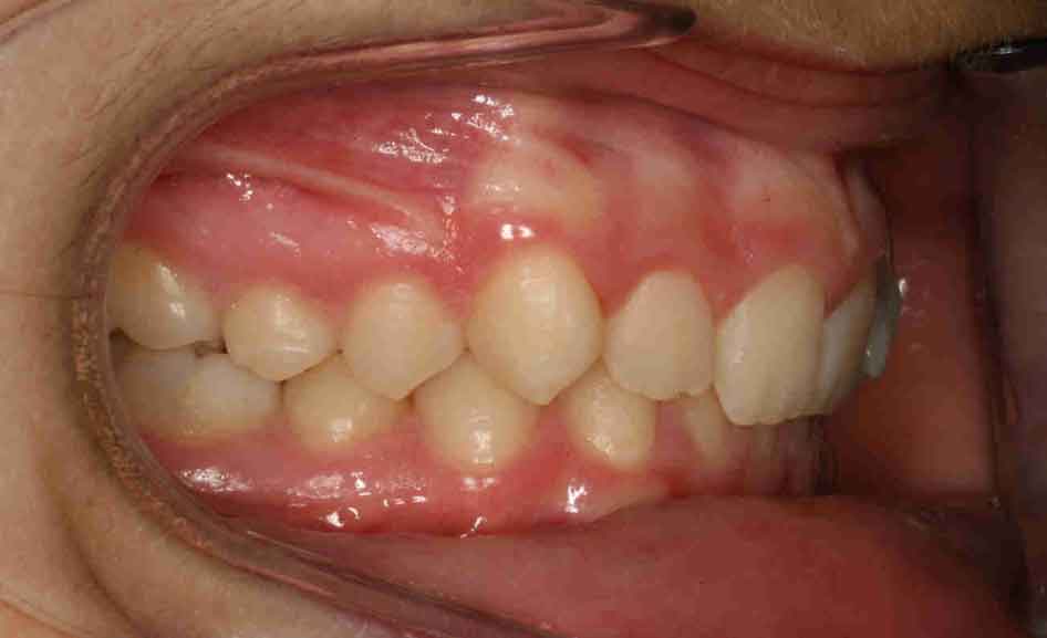
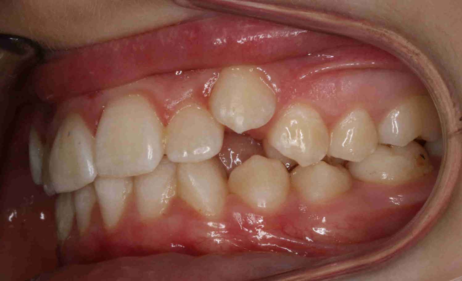
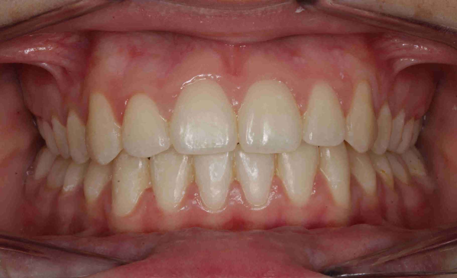
Asimetría
En las siguientes imágenes puedes ver distintos resultados del tratamiento, deslizando la barra central de un lado a otro.


















En las siguientes imágenes puedes ver distintos resultados del tratamiento, deslizando la barra central de un lado a otro.

















