Casos Clínicos
Tratamiento solo interceptivo 1ª Fase
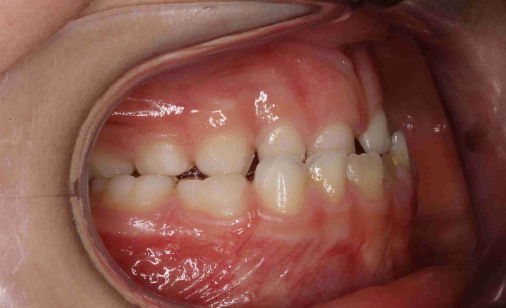
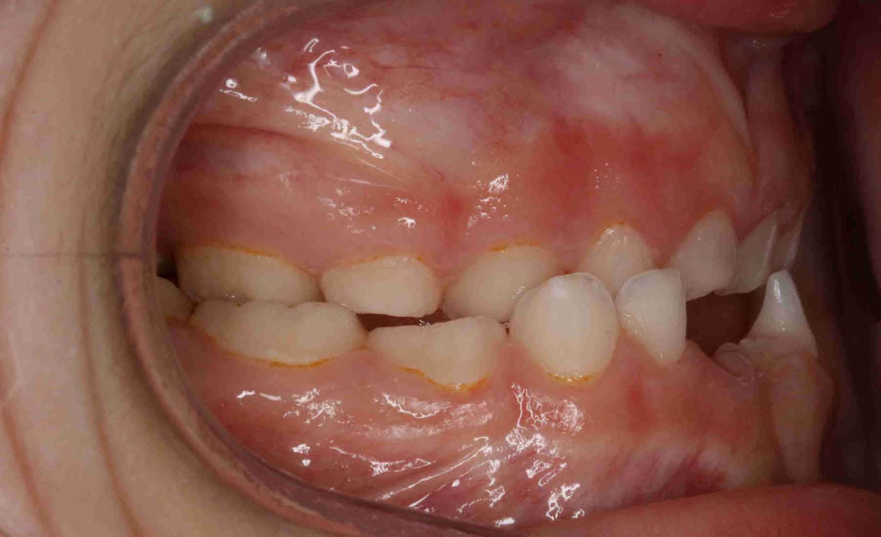
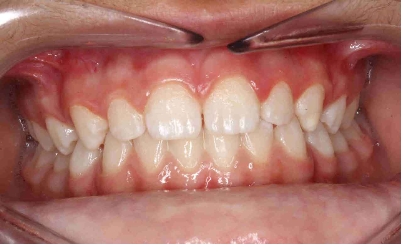
En las siguientes imágenes puedes ver distintos resultados del tratamiento, deslizando la barra central de un lado a otro.
Asimetrías












Clases II










Clases III




















Mordida Abierta



Mordida Cruzada Anterior






















Mordida en Tijera



