Casos Clínicos
Extracciones
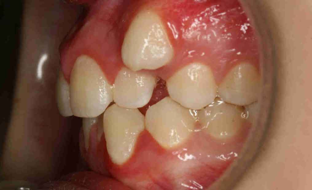
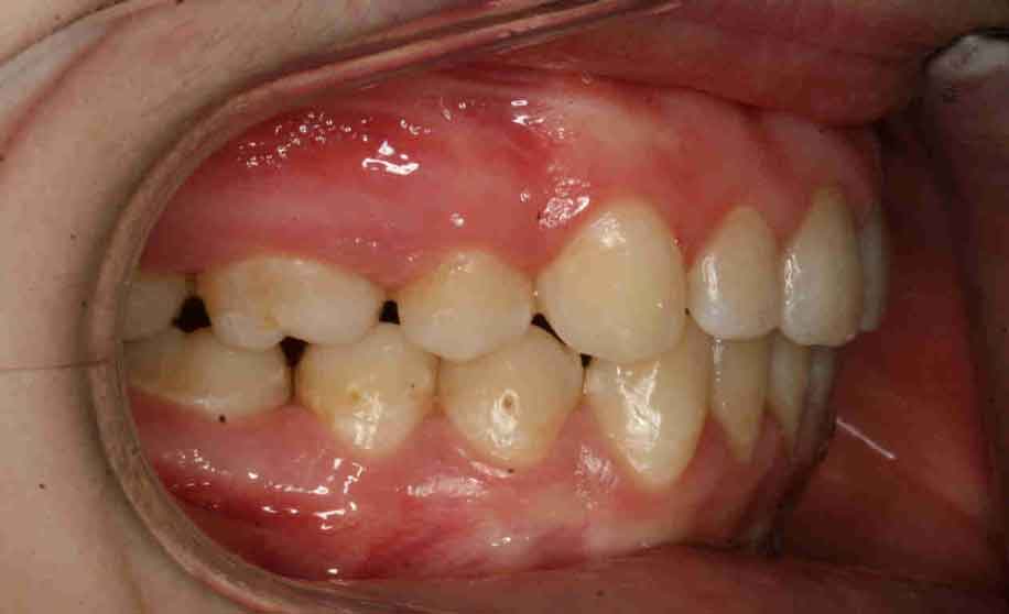
En las siguientes imágenes puedes ver distintos resultados del tratamiento, deslizando la barra central de un lado a otro.












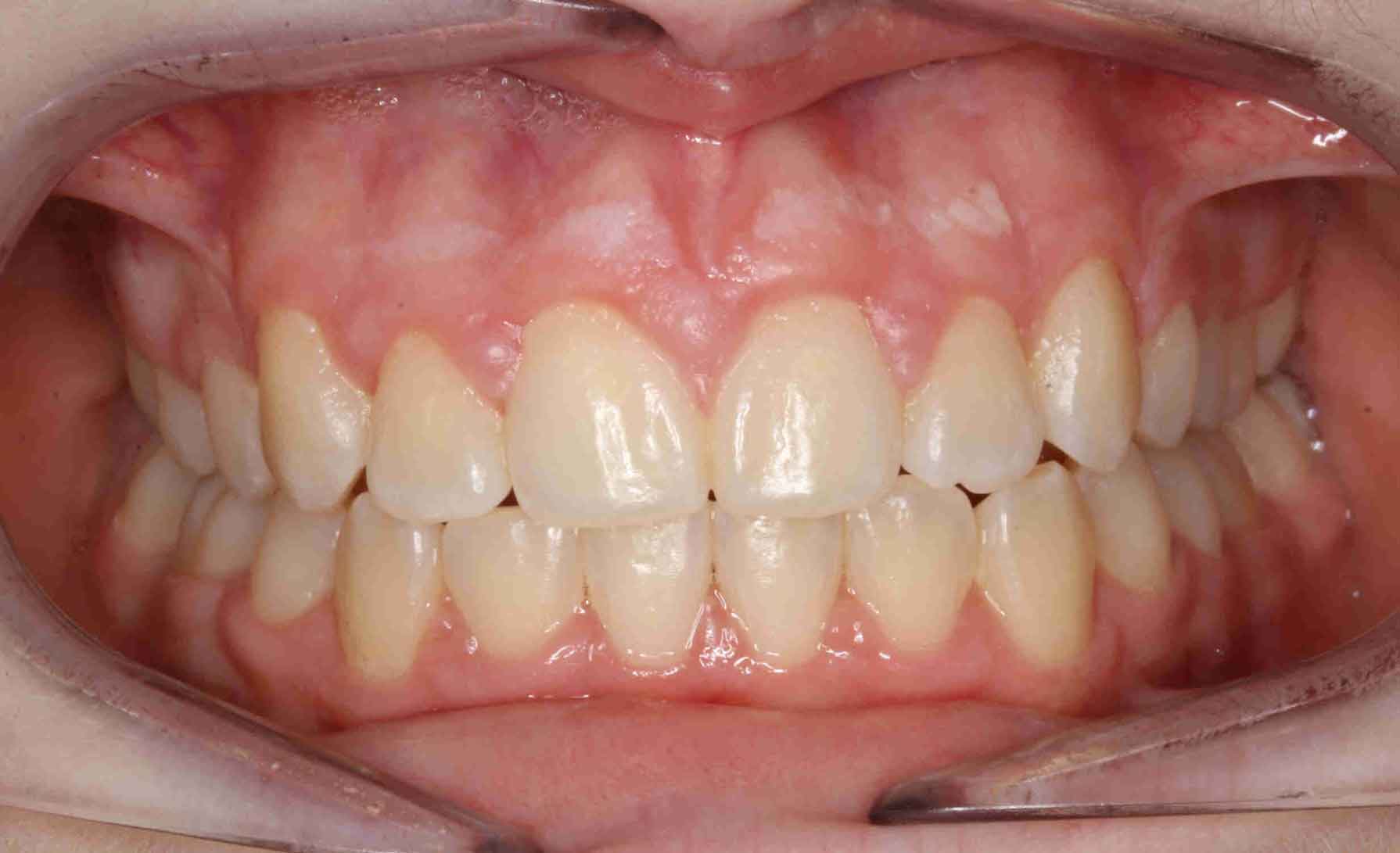
En las siguientes imágenes puedes ver distintos resultados del tratamiento, deslizando la barra central de un lado a otro.











