Casos Clínicos
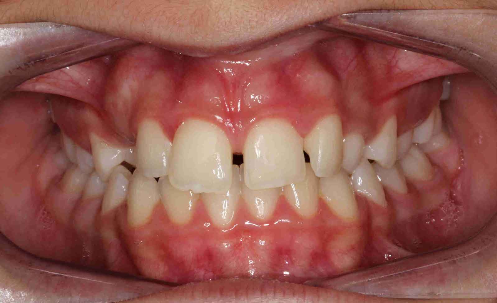
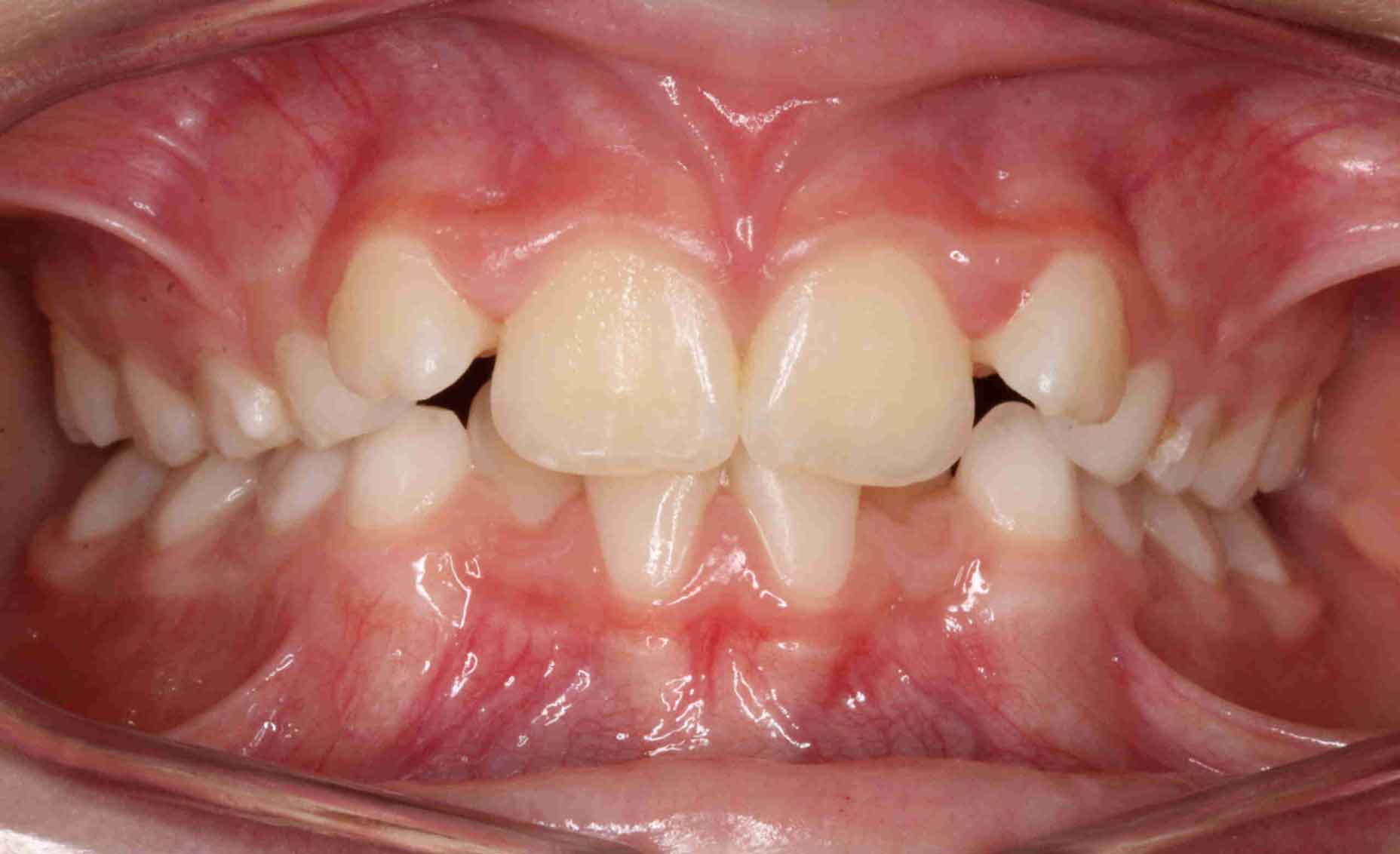
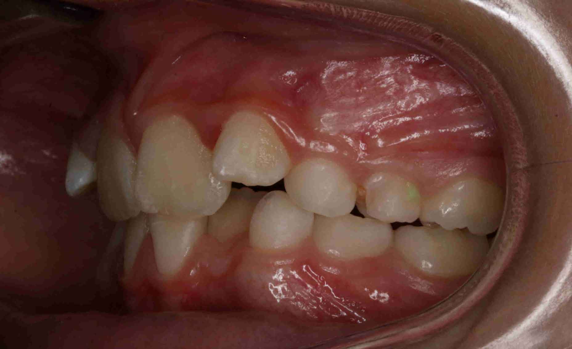
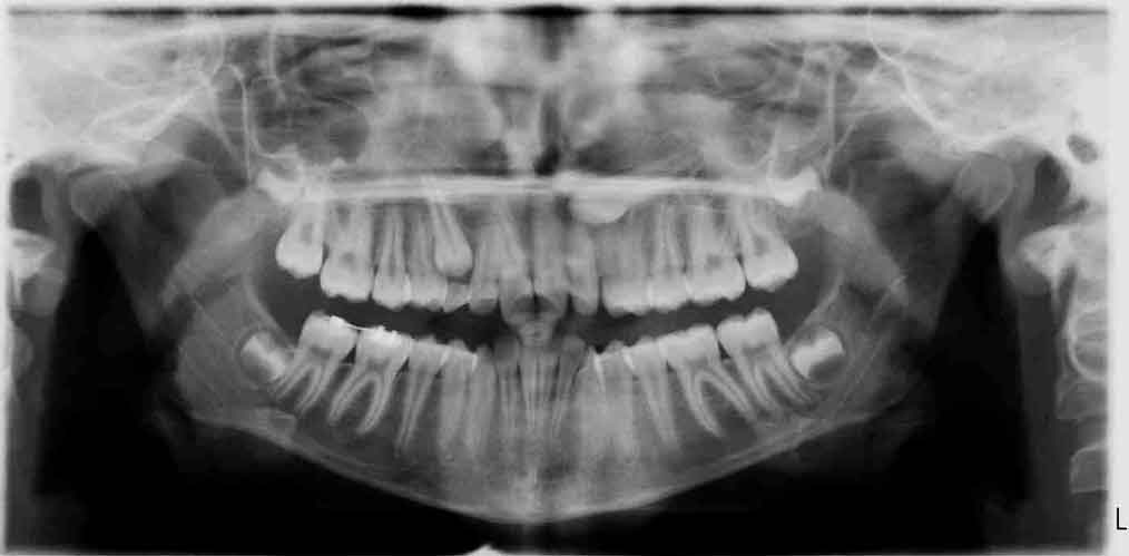
Caninos Impactados
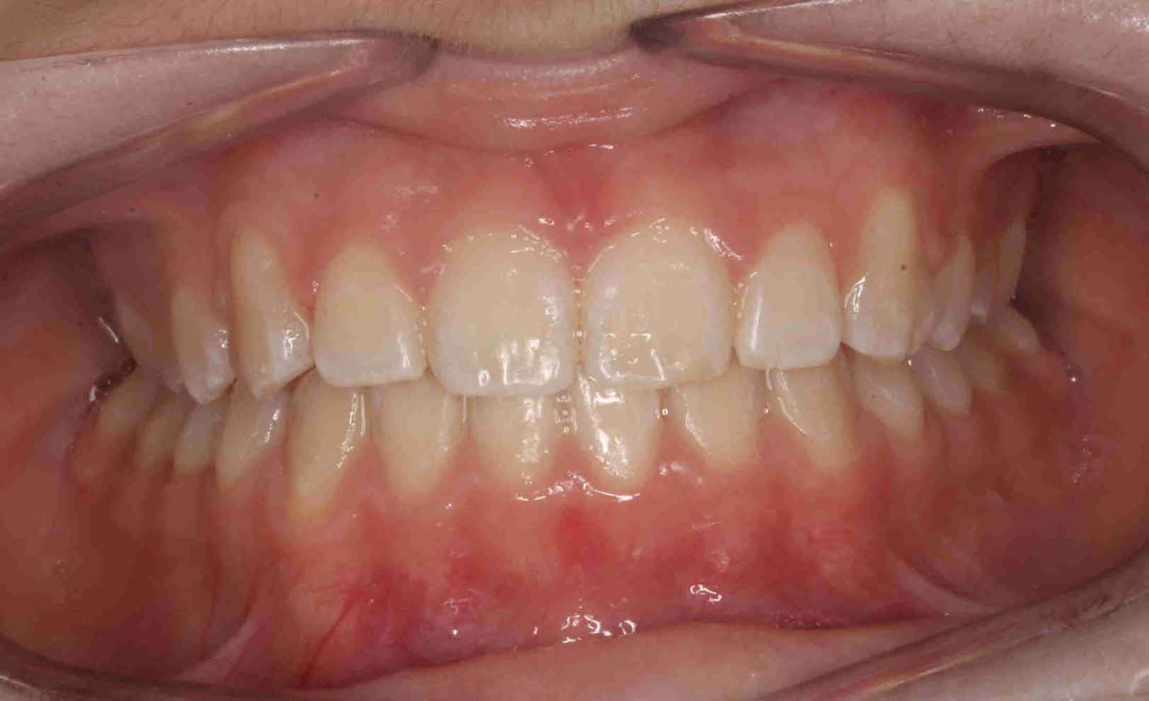
En las siguientes imágenes puedes ver distintos resultados del tratamiento, deslizando la barra central de un lado a otro.




















En las siguientes imágenes puedes ver distintos resultados del tratamiento, deslizando la barra central de un lado a otro.



















